锁定钢板的外固定应用

产品信息2年前发布 admin
68 0 0

锁定钢板的外固定应用

前 言

自AO组织1965年提出“解剖复位、坚强内固定”原则后,骨折切开复位内固定(ORIF)的AO原则得到了广泛的应用。

但有些情况并不适合运用此原则,如严重开放性骨折及感染性骨不连。对此类情况临床常用外固定架进行治疗。但由于外固定架复杂的结构及笨重的外观,给患者的日常生活带来了极大的不便,且影响功能锻炼。

锁定钢板具有角稳定特性,这点与外固定架有点相似,因此,有学者创新性地将锁定钢板用于外固定,用于开放性骨折或感染性骨不连、骨缺损等的临时固定或终极固定。现图文摘要综述如下:

AO钢板外固定

锁定钢板的外固定应用

(AO钉板)

首次报道:

1984年,荷兰医生Rene K.Marti 等人首次报道了将AO钢板(DCP/圆孔钢板)用于开放性骨折及感染性骨不连的外固定,取得了较好的疗效。

锁定钢板的外固定应用

Cases

锁定钢板的外固定应用

锁定钢板的外固定应用

后来,Ramotowski 和 Granowski (1987) 对该技术进行了发展,称为ZESPOL接骨术。 

第二次报道:

1991年,Rene K.Marti等人再次报道了将AO钢板作为外固定架用于开放性骨折以及骨感染性的固定病例12例,也取得了较好的疗效。

锁定钢板的外固定应用

Cases

锁定钢板的外固定应用

第三次报道:

2003年,Rene K.Marti团队再次报道了将AO标准钢板作为外固定架用于开放性骨折以及骨感染性骨不连的固定病例31例,也取得了较好的疗效。

锁定钢板的外固定应用

Cases

锁定钢板的外固定应用

锁定钢板的外固定应用

LCP外固定

首次报道:

(T.Apivatthakakul,2007年)

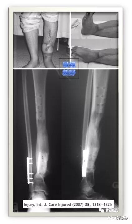
2007年,泰国医生T.Apivatthakakul等人年首次报道了将锁定加压钢板(locking compression plate,LCP)用于胫骨开放性骨折并骨缺损的外固定治疗1例,取得了较好的固定效果。

锁定钢板的外固定应用

Case

29岁,男。车祸致左胫腓骨开放骨折,皮肤软组织缺损面积9cm×15cm ,并胫骨节段性骨缺损。急诊清创、胫骨以14孔4.5mm锁定加压钢板(LCP)作外固定(钢板距离皮肤4cm间距)。

锁定钢板的外固定应用

● 1周后,皮肤软组织缺损以游离股前外侧肌皮瓣修复。

● 4周后,皮瓣愈合,开始作骨搬移(截骨第7天开始搬运、前3周每天0.5mm;1 mm/天);期间作主、被动关节活动及部分负重。

● 96天后,搬移骨段到达骨端,自体髂骨植骨促进愈合。

● 5个月后,拆除Wagner牵引外架;骨段通过LCP打入1枚螺钉进行稳定。

锁定钢板的外固定应用

LCP继续外固定5月(外固定共10月)后拆除LCP;骨折愈合,踝关节功能良好。

锁定钢板的外固定应用

推广应用:

case

锁骨感染性骨不连的LCP外固定

锁定钢板的外固定应用

case

胫骨感染性骨不连的LCP外固定

锁定钢板的外固定应用

case

胫骨Gustillo-IIIB型开放骨折的LCP外固定

锁定钢板的外固定应用

case

胫、腓骨近端骨折并骨筋膜室综合征切开减压术后外固定

锁定钢板的外固定应用

case

Pilon感染性骨不连LCP外固定

锁定钢板的外固定应用

case

胫骨远段感染性骨不连LCP外固定

锁定钢板的外固定应用

LCP外固定的其它类似报道:

锁定钢板的外固定应用

讨 论

锁定钢板外用是一种非常规治疗措施,与常规固定措施比较,有如下几个优势[Luo P等,2017]:

优点:

● 它可减少软组织的损伤;避免了一期ORIF的并发症。

● 外固定钢板较常规外架轻便、轮廓低,不影响穿衣、且易隐藏,患者更容易接受。

● 外固定钢板用作终极性固定措施时,不需要跨关节,因此不影响早期活动。

● 外固定钢板的拆除可以不用麻醉。

争议:

由于“钢板外用”是非常规使用,其与常规固定措施相比,在如下几个问题上尚存在争议:

● 固定强度

● 愈合率

● 并发症

锁定钢板外固定的强度问题:

● Luo P 等人(2017)对涉及钢板外固定生物力学研究的文献(如下题录)进行综述:

锁定钢板的外固定应用

结果发现:

● 不同的生物力学研究结果表明,锁定钢板外固定的整体强度低于其作内固定使用的强度;

● 但临床研究表明,对于胫骨骨折以锁定钢板进行外固定的固定强度足够。

● 但到目前为止,尚无明确证据证明锁定钢板外固定的临床及功能结果优于传统固定技术。

锁定钢板的外固定应用

● B. F. H. Ang 等人(2017)对外固定使用的不锈钢LCP(ESS-LCP)、钛合金LCP(ET-LCP)与传统单边外固定架(UEF)固定装置进行了轴向及抗扭转强度的对比研究。

锁定钢板的外固定应用

结果发现:

● ESS-LCP、ET-LCP与UEF装置在轴向固定强度无显著性差异。

● 但抗扭转强度有显著性差异,ESS-LCP、ET-LCP明显高于UEF。

● ESS-LCP与ET-LCP之间在轴向及抗扭装强度上均无显著性差异。尽管理论上不锈钢的弹性模量(杨氏模量)是钛合金的2倍,但二者外固定的实际固定强度相差无几(无统计学差异)。

(轴向强度:ESS-LCP:ET-LCP=1.12)

(扭转强度:ESS-LCP:ET-LCP=1.21)

锁定钢板的外固定应用

锁定钢板外固定的愈合率问题:

锁定钢板外固定的不愈合率约5-17%(各家文献报导略有不同,具体见下表),其与传统外固定架的不愈合率相当(≤20%)。

锁定钢板的外固定应用

锁定钢板的外固定应用

锁定钢板外固定的并发症问题:

Luo P 等人(2017)综述发现,各临床研究报道的锁定钢板外固定的并发症率为5.7-40%,平均23.6%。最常见的并发症包括:

● 钉道感染( 7.1% )

● 延迟愈合(3.9%)

● 其它并发症(0.4-2%):

包括深部感染、深静脉血栓、皮肤坏死、骨不连、畸形愈合、钢板断裂、螺钉松动或断裂、 肢体短缩等。

Lian H 等人(2015)报道的锁定钢板外固定应用的并发症率为12%( 3/25), 与MIPO技术钢板内固定的总体并发症率无显著差异 。

推荐阅读

➛➛ 骨外固定技术应用技巧和方法

➛➛ 胸腰椎骨折的微创手术治疗

➛➛ 慢性足部疼痛的影像学评估

➛➛ 轴向负载诱导小鼠椎间盘退变模型的建立

图文来源:骨视新野

声明:本文为转载内容,玖玖骨科不对文章内容准确性及其观点负责。如涉及版权问题请及时与我们联系,我们会立即处理,以保障双方利益。

为什么要投稿?是为了记录自己的医学之路!是为了与更多的骨科同道交流分享!是为了让更多的人看到而受益!让传播知识成为一种习惯,是“玖玖骨科”让你投稿的理由!

投稿邮箱:reporter@jiujiumed.org

锁定钢板的外固定应用

点击下方”阅读原文“,学习更多学术知识

© 版权声明

相关文章

暂无评论

none
暂无评论...